La 03 martie curent, domeniul neurochirurgical al IMSP Spitalul Clinic Republican a înregistrat o novație în segmentul intervențiilor neurochirurgicale pentru Republica Moldova. Este vorba despre chirurgia aplicată pacientului treaz, conștient, suferind de crize epileptice, prin utilizarea neuronavigației, a monitoringului neurofiziologic intraoperator și a mappingului zonelor verbale ale cortexului cerebral.
Pacientul operat, un tînăr de 20 ani, student la o facultate din Chișinău, suferea de mai mulți ani de crize convulsive parțiale. În toată această perioadă, pacientul a fost nevoit să administreze remedii anticonvulsivante, care îi afectau grav performanțele intelectuale și calitatea vieții.
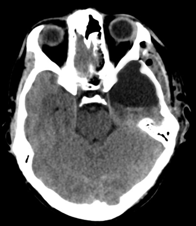
Pentru diagnosticare, pacientul a fost supus unui examen prin Rezonanță Magnetică Nucleară standard, care a scos în evidență un proces expansiv, prezumptiv o tumoare intracerebrală, în lobul temporal pe stânga. După realizarea investigației prin RMN, pacientul s-a adresat în Secția Neurochirurgie a Spitalului Clinic Republican pentru rezolvarea convulsiilor și înlăturarea tumorii.
Cazul s-a dovedit a fi unul din categoria celor cu dificultate majoră. Pe lângă dimensiunile mari ale tumorii, a edemului cerebral perilezional, s-a constatat că tumoarea se află în vecinătatea imediată a zonelor verbale care ar putea suferi în timpul operației tradiționale. Pentru a elucida mai bine rapoartele anatomice, pacientul a realizat o investigație RMN cu utilizarea mai multor regimuri speciale: regim neuronavigație, DTI, DWI, Fiber Tracking și Mappingul Cortical preoperator prin Rezonanță Magnetică Funcțională – fMRI. Astfel, echipa chirurgicală a obținut informații foarte utile despre rapoartele anatomice regionale și distribuția diferitor funcții pe scoarța cerebrală. Aceste date au fost necesare pentru integrarea cu sistemul de neuronavigație.
Anterior intervenției, familia pacientului a înaintat anumite condiții, care, de fapt, au reprezentat și una din principalele probleme – păstrarea vorbirii, a mișcărilor și a capacității de gândire după înlăturarea totală a tumorii. Aceste obiective puteau fi satisfăcute numai prin realizarea operației în plină conștiență și cu prezența unui contact verbal deplin cu pacientul în timpul înlăturării tumorii, fapt care a fost realizat.
Preoperator, pacientul a fost examinat în consiliu comun format din neurochirurgi, anesteziologi, neurolog, neurofiziolog. Pe tot parcursul operației, întreaga echipă chirurgicală coordonată de șeful secției neurochirurgie, prof. dr. Aurel Bodiu, s-a condus de protocoalele internaționale în domeniul chirurgiei în stare de veghe, în special ”The Regensburg Protocol”.
Intervenția chirurgicală a fost un adevărat succes! Operația a durat 6 ore, dintre care 4 ore pacientul s-a aflat în contact verbal deplin cu echipa operatorie. În timpul operației pacientul a putut să vorbească, să citească versuri, să calculeze în mai multe limbi, îndeplinea cu mâinile diferite instrucțiuni motorii. A fost transferat în salon a doua zi, iar externat – peste 6 zile după operație. Examenul de control computer-tomografic a arătat lipsa complicațiilor și rezecția totală a tumorii, care s-a dovedit a fi un proces cu malignitate joasă. Defecte neurologice postoperatorii nu s-au constatat.
Trebuie de menționat că realizarea operațiilor neurochirurgicale de acest gen este posibilă numai în condițiile unei dotări tehnice excepționale și a existenței unui echipe operatorii dedicate și competente. Rezolvarea cu succes a acestui caz a reprezentat o confirmare în plus a prezenței tuturor factorilor imperios necesari în procesul de tratament pentru pacienții Republicii Moldova, factori care se regăsesc în serviciile medicale oferite de către IMSP Spitalul Clinic Republican.









