Pe 09.11.2016 în Spitalul Clinic Republican a fost realizat cu succes tratamentul combinat (embolizare preoperatorie și ablația chirurgicală) al unei tumori intracraniene simptomatice.
Pacienta A., 71 ani, prezenta la internare hemipareză profundă pe dreapta și crize jacksoniene în membrele hemicorpului drept. Menţionăm că bolnava prezenta din 2013 crize jacksoniene motorii la nivelul membrului inferior drept, starea ei agravându-se odată cu instalarea slăbiciunii musculare la nivelul hemicorpului drept (Karnofsky PS 40%).

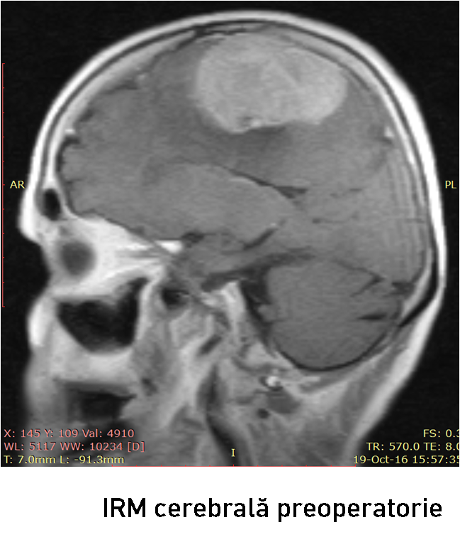
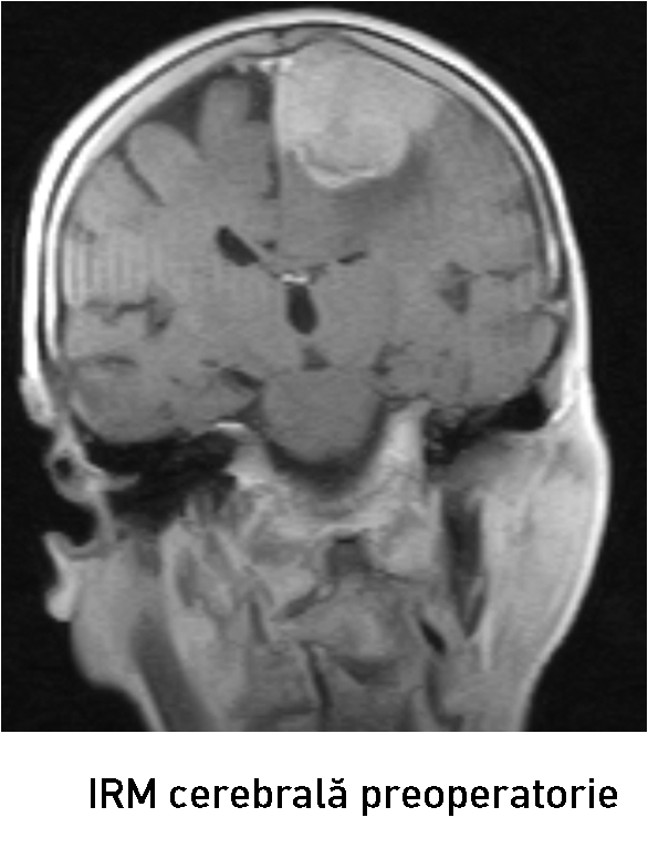
Examenul neuroimagistic prin IRM a stabilit prezența unei formațiuni tumorale intracraniene extraaxiale pe stânga (6
6 x 37 x 45 mm)la nivelul parasagital (1/3 medie a SSS) ce comprima regiunea precentrală și postcentrală stângă (fig. 1-2). Formațiunea de volum era atașată de sinusul sagital superior, de coasa creierului și capta intens substanța de contrast – suspect pentru un meningiom parasagital voluminos. Luând în considerație volumul leziunii tumorale, se impunea realizarea tratamentului neurochirurgical.
A fost decisă realizarea angiografiei cu substracție digitală a vaselor capului și gâtului preoperator, pentru aprecierea vascularizării tumorii și posibilităților tratamentului endovascular.


Angiografia clasică diagnostică a confirmat existența unui blush tumoral (fig. 3-4) – leziunea fiind alimentată de artera meningee medie (AMM) stângă și artera temporală superficială stânga (ramuri ale arterei carotide externe stângi). Echipa medicală a decis realizarea unei embolizări preoperatorii pentru a reduce hemoragia intraoperatorie și diminuarea riscului de recurență tumorală (care este dublu la meningioamele parasagitale !). Hemoragia intraoperatorie reprezintă un factor de risc major și poate împiedica chirurgul în realizarea unei exereze radicale a proceselor tumorale voluminoase.

Tratamentul
endovascular al unei tumorii constă în introducerea agenților embolici înpediculii arteriali ce alimentează tumora până la ocluzia lor. Embolizarea tumorii poate fi realizată nemijlocit înaintea intervenției sau câteva zile în prealabil. Ocluzia arterelor ce alimentează tumora determină apariția leziunilor ischemice intratumorale (necroză centro-tumorală) și la nivelul atașamentului dural al meningiomului. În cazul dat am optat pentru embolizarea AMM stângi cu particule emboligene de 150-250 mcm care avansează intratumoral și în final realizează ocluzia mecanică al arterei feeder. A fost realizat cateterismul supraselectiv al AMM cu un microcateter (fig. 5-6) și prin el s-au injectat agenții embolici. Angiografia selectivă a arterei carotide externe stângi a confirmat diminuarea semnificativă al blush-ului tumoral și ocluzia AMM stângi (fig. 7).


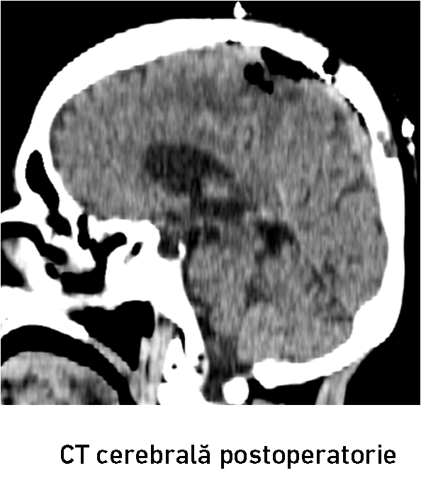
După 2 ore de la tratamentul endovascular, echipa chirurgicală a dat startul intervenției convenționale prin craniotomie osteoplastică. Grație embolizării preoperatorii, hemoragia intraoperatorie a fost redusă până la 500 ml. A fost realizată ablația totală macroscopică a meningiomului cu coagularea atașamentului dural, fapt confirmat prin CT cerebrală postoperatorie (fig. 8-10). Intervenția a fost efectuată de colaboratorii IMSP Spitalul Clinic Republican formată din conf. univ. d.ș.m. Eduard Eftodiev, dr. Alexandru Șumleanschi, dr. Iana Cotorcea, asistenta anestezistă Doina Dragan, asistentele de operație Maria Mutelică și Macela Cucheev. Toate obiectivele propuse au fost realizate cu succes de către echipa neurochirurgicală. Bolnava a fost externată la ziua 9-a postoperator în stare satisfăcătoare. Starea pacientei s-a ameliorat după tratamentul combinat : a regresat hemipareza în membrele drepte, pacienta devenind autonomă (Karnofsky PS 70%). Cu toate că bolnava a recuperat spectaculos forța în membrele hemicorpului drept, a fost recomandat continuarea tratamentului de recuperare şi neuroreabilitare.
Meningiomul este în general o tumoră benignă (în 90% din cazuri) dezvoltată din celulele meningoteliale ale arahnoidei (membrana mijlocie care învelește creierul și măduva spinării). Ca frecvență reprezintă 13-18% din tumorile intracraniene și aproximativ o treime din tumorile primitive ale creierului (fiind pe locul doi după glioame). Este o tumoră a vârstei medii şi afectează predominant femeile. Meningioamele, de regulă, sunt intens vascularizate și bolnavul poate prezenta o hemoragie semnificativă în timpul intervenției chirurgicale. Embolizarea preoperatorie a meningioamelor, a fost propusă în anii '70 ai secolului al XX-lea pentru devascularizarea tumorii și este utilizată pe larg în centrele neurochirurgicale moderne.
Sala de operații Hybrid a SCR este dotată cu angiograf monoplanar „Siemens Artis Zee“, microscop chirurgical Carl Zeiss Pentero 900, neuronavigație Brainlab Curve care permit realizarea tratamentului combinat endovascular și chirurgical pe aceeași masă și în aceeași zi. După inaugurarea noului bloc chirurgical al SCR, în sala Hybrid, au fost realizate peste 1000 de intervenții neurochirurgicale și proceduri diagnostice.






