Datorită calificării specialiștilor din secția Neurochirurgie a Spitalului Clinic Republican și a utilizării echipamentului medical ultramodern, arsenalul intervențiilor neurochirurgicale, atât de necesare populației Republicii Moldova, a fost completat cu o nouă tehnologie – Biopsia cerebrală cu utilizarea sistemului de neuronavigație stereotaxică fără cadru.
În decembrie 2014, pacientul S., 43 ani, a fost diagnosticat cu Tumoare intracerebrală. Localizarea tumorii s-a dovedit a fi una foarte dificilă, motiv din care a fost refuzat pentru tratament în alte instituții medicale. Pacientul însă a insistat asupra unei opinii secundare, ajungând în final la consultație în secția Neurochirurgie SCR. După un șir de investigații suplimentare și examinări preliminare, pacientului i s-a propus cea mai rațională variantă de rezolvare a problemei. Procesul de tratament a fost divizat în 2 etape. În cadrul primei etape, era necesar de a preleva câteva fragmente de țesut cerebral patologic (tumoare), după care medicii, de comun acord cu rudele pacientului, urmau să se pronunțe asupra posibilității de tratament radical al procesului.
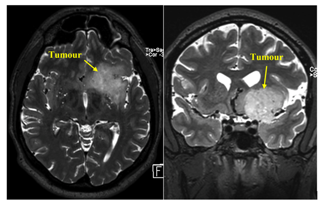
„Localizarea tumorii este extrem de dificilă. Patologia implică regiunea insulară a creierului din partea stângă, arterele mari ale fisurii silviene, fibrele motorii ale tractului cortico-spinal și câteva alte structuri importante ale creierului. Localizarea din partea stângă complică și mai mult situația, deoarece mâna dreaptă a pacientului e cea dominantă, iar o intervenție chirurgicală nereușită ar putea duce la un deficit neurologic devastator pentru pacient. În pofida celor enumerate, și pentru astfel de pacienți există o șansă. Prima etapă constă în determinarea gradului de malignitate a procesului, iar în funcție de rezultatul obținut, vom planifica următorii pași”, ne-a relatat profesorul Aurel Bodiu, șeful secției de neurochirurgie a Spitalului Clinic Republican.
Intervenția chirurgicală a fost realizată pe 17 martie curent și toate obiectivele propuse înainte de operație au fost realizate pe deplin și cu succes.
În cadrul intervenţiei chirurgicale a fost folosit un echipament ultramodern care pune în aplicație un concept nou în neurochirurgia minim invazivă cerebrală. În trecut, pentru obținerea unui specimen (fragment de țesut) cerebral existau 2 posibilități: pacientul era suspus unei intervenții chirurgicale deschise, în timpul căreia se încerca de a preleva material tumoral (cu toate riscurile unei intervenții chirurgicale deschise) sau pacientul era suspus unei proceduri anevoioase de montare a cadrului sterotaxic, urmat de realizarea computer-tomografie (CT), apoi intervenția chirurgicală, apoi din nou computer-tomografie (CT).
Toate aceste incomodități lipsesc în cadrul biopsiei cu utilizarea neuronavigației fără cadru stereotaxic. Astfel, procedura pentru pacient arată cât se poate de simplu. Pacientul intră în sala de operație fără cadru pe cap și iese de acolo cu procedura de biopsie realizată, localizarea și precizia biopsiei fiind confirmate pe masa de operație.
Biopsia cerebrală reprezintă o tehnică indispensabilă pentru pacienții neurochirurgicali care suferă de o patologie a creierului greu accesibilă. Metoda este absolut necesară ca etapă premergătoare, în cazul localizării proceselor patologice în zone elocvente ale creierului sau în cazul în care este nevoie de un diagnostic diferențial precis. Utilizarea sistemului nu este limitată numai la biopsie. Sistemul de neuronavigație existent în SCR permite a ghida nu numai canulele de biopsie dar și alte instrumente, în special, endoscoapele cerebrale. Acest lucru permite de a accesa într-o manieră sigură orice proces localizat în creier, iar etapa curativă sau de diagnostic poate fi realizată prin control vizual, cu ajutorul endoscopului cerebral.
Pacientul S., a beneficiat de tehnologiile existente în volum deplin. Operația a durat 2 ore. Pacientul și-a revenit după o oră de la intervenția chirurgicală, iar peste o zi a fost externat. Pentru prelevarea biopsiei a fost aleasă o porțiune de tumoare localizată la adâncimea de 13 cm de la suprafață. Locul ales a fost țintit cu precizia de 0,2mm! Acest grad de precizie este suficient pentru toate biopsiile cerebrale, iar în anumite circumstanțe, sistemul poate fi utilizat și pentru tratamentul parkinsonismului.
Implementarea largă a biopsiei cerebrale fără cadru stereotaxic reprezintă un pas important în asigurarea calității actului neurochirurgical, în special, în cazul tumorilor cerebrale cu localizare dificilă sau riscantă.
Este de menționat și faptul că tratamentul radiochirurgical sau alte tipuri de gamma-chirurgie nu pot fi realizate fără a cunoaște substratul histologic al tumorii. Importanța biopsiei cerebrale este în continuă ascensiune datorită apariției metodelor noi de tratament, dar și necesității unei diferențieri clare a diagnosticului înaintea realizării unui tratament costisitor.













