Un nou succes remarcabil pentru doctorii din IMSP Spitalul Clinic Republican. Portofoliul tehnicilor minimal invazive neurochirurgicale a fost completat cu un nou tip de intervenție endovasculară și anume embolizarea cu Onyx. Medicii din SCR au realizat în premieră în Republica Moldova astfel de operaţie. Aceasta a fost efectuată în câteva etape.
Pacientul V., 63 ani, prezenta la internare dureri persistente la nivelul jumătății drepte ale feței, zgomote permanente în ambele urechi şi contracții clonice la nivelul hemifeței stângi. Menţionăm că bolnavul a suportat un traumatism penetrant al gâtului aproximativ 25 ani în urmă. După traumatism bolnavul a remarcat apariția acufenelor pulsatile bilateral, iar de 2 ani în urmă au apărut durerile nevralgice la nivelul feței pe dreapta. Investigațiile imagistice prin CT-angio și IRM-angio au stabilit prezența unui conflict neuro-vascular la nivelul unghiului ponto-cerebelos drept și dilatarea venelor corticale și venelor cerebrale profunde. Staza venoasă la nivelul intracranian, prezența acufenelor pulsatile bilaterale și traumatismul cervical prin armă albă suportat ne-au făcut să suspectăm o fistulă arterio-venoasă la nivelul cervical sau la nivelul bazei craniului.
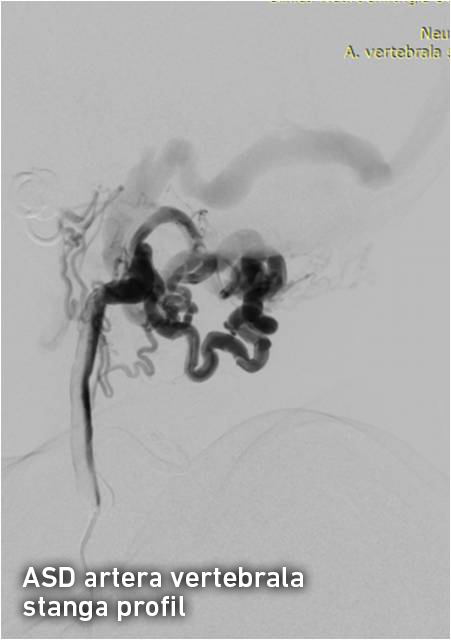
Pentru precizarea diagnosticului a fost nevoie de o investigație invazivă și anume angiografia cu substracție digitală a vaselor capului și gâtului, ce reprezintă „standartul de aur “ în patologia neurovasculară. Angiografia clasică diagnostică a confirmat existența unei fistulei arterio-venoase posttraumatice cervicale pe stânga și ocluzia venei jugulare stângi. Fistula arterio-venoasă posttraumatică reprezintă comunicarea anormală dintre sistemele venos și arterial apărută după leziunea peretelui vascular. În cazul dat sângele arterial din artera vertebrală stângă și trunchiul tireo-cervical stâng pătrundea sub presiune înaltă în porțiunea incipientă a venei jugulare stângi, apoi retrograd în sinusul sigmoid stâng, sinusurile transverse, sinusul sigmoid drept și se drena extracranian prin vena jugulară dreaptă. Arterializarea sângelui din sinusurile venoase ale durei mater are ca consecință creșterea presiunii venoase intracraniene, apariția stazei venoase și dilatarea venelor cerebrale superficiale și profunde. Ca rezultat, bolnavii cu fistule arterio-venoase a vaselor precerebrale și cerebrale suferă de dureri de cap și de ochi, dereglări cognitive, afectarea nervilor cranieni (conflict neuro-vascular cu n. trigemen și n. facial) și acufene. Hipertensiunea venoasă intracraniană poate cauza accidente vasculare hemoragice, ce reprezintă una din cauzele principale de morbiditate şi mortalitate.
Embolizarea, tratamentul la care s-a recurs pentru ocluzia fistulei arterio-venoase, este o tehnică modernă prin care comunicarea patologică dintre artere și vene este blocată, restabilind circulația normală a sângelui. Embolizarea endovasculară reprezintă un tratament prin interiorul vaselor : se face o puncție a arterei femurale și cu ajutorul unor tuburi intravasculare (catetere și microcatetere) se introduc agenți embolici la nivelul fistulei arterio-venoase până la ocluzia sa.
În cazul dat am optat pentru embolizarea fistulei cu un agent embolic lichid Onyx care se solidifică la contactul cu sângele pacientului și se depune pe pereții vaselor afectate. Există și alte tratamente endovasculare în cazul fistulelor arterio-venoase, cum ar fi ocluzia cu dispozitive de ocluzie mecanică (balonaşe detaşabile, coiluri, stenturi speciale flow diverters), utilizarea agenților de embolizare lichizi (Glubran, N-butyl cyanoacrilați (NBCA)), agenți sclerozanti (etanolul) sau combinarea lor (coil+ Onyx, coil+ NBCA, etc.). Selecția se face de la caz la caz, în funcție de tipul fistulei și experiența neuro-intervenționistului.
Tratamentul endovascular a fost realizat grație colaborării multidisciplinare între neurochirurgul-intervenționist Alexandru Șumleanschi, cardiologul-intervenționist Eugen Calenici și neuro-anestezisteziolog Iana Cotorcea. Embolizarea a avut loc în 2 etape sub anestezie generală : pe 15.07.2016 a fost ocluzată artera cervicală ascendentă stângă (trunchiul tireo-cervical) cu Onyx și pe 02.09.2016 a fost realizată ocluzia arterei vertebrale stângi (segmentul V2-V3). Toate obiectivele propuse înainte de operație au fost realizate cu succes. Starea pacientului s-a ameliorat după embolizare: au dispărut acufenele, au diminuat durerile nevralgice, ceea ce a permis diminuarea tratamentului neurotrop. Spre deosebire de chirurgia clasică, pacientul a necesitat timp redus de spitalizare și recuperarea după embolizare a fost rapidă.
De menționat, că intervenția endovasculară este mai scumpă, deoarece consumabilele și utilajul sunt costistoare. Totuși embolizarea endovasculară este mult mai puțin traumatică : riscul global al acestui tip de intervenții e estimat între 3 și 5%. Deci în 95-97% dintre cazuri, pacientul trebuie să se trezească la fel ca înainte de intervenție: fără plagă sau cicatrice inestetică, iar creierul rămâne intact.
Sala de operații Hybrid a SCR e operațională de 2 ani și este dotată cu angiograf monoplanar „Siemens Artis Zee“ care permite realizarea investigațiilor diagnostice și intervențiilor endovasculare în cazul maladiilor neurovasculare. De aceea, intervențiile endovasculare nu se pot face oriunde. Este foarte important ca intervențiile să se realizeze într-un centru neurochirurgical cu toate dotările necesare și cu o echipă multidisciplinară: neuro-intervenționist, neurochirurg și neuro-anestezist.












