Crearea condiţiilor moderne şi prezenţa aparatajului şi accesoriilor a deschis noi orizonturi pentru medicii secţiei de endochirurgie. Multe din manoperele endoscopice au devenit realizabile şi în IMSP Spitalul Clinic Republican.
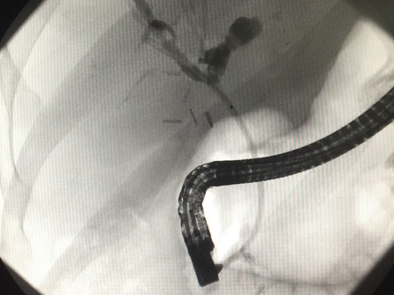
Recent echipa de endochirurgi formată din Cotoneţ Alic şi Bodrug Roman a realizat una din cele mai dificile protezări ale ductului hepatic comun cu proteza metalică autoexpandabilă. Un caz depăşit de neoplasm perihilar hepatic, la care mai multe tentative endoscopice şi intervenţii chirurgicale tradiţionale au eşuat. Anterior, la prima şedinţă endoscopică s-a reuşit canalizarea ductului hepatic comun şi instalarea unei proteze biliare din palstic. Starea pacientului s-a ameliorat, iar după două cure de chimioterapie la o adoua intervenţie endoscopică, proteza din plastic a fost înlocuită cu una metalică autoexpandabilă. Astfel de proteze asigură un flux biliar adecvat pe o perioadă de timp mai îndelungată.









